Medulloblastoma
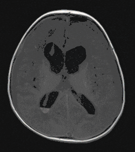
Medulloblastoma is the most common malignant brain tumor in childhood and usually leads to intracranial pressure symptoms due to its growth in size.
Complete surgical removal and systematic follow-up treatment according to current study protocols of the interdisciplinary Pediatric Oncology Board are essential factors for a good prognosis.
You are welcome to contact our clinic for consultation.

