UNIVERSITY CLINIC FOR RADIOLOGY AND NUCLEAR MEDICINE

Prof. Dr. med. Maciej Pech and Prof. Dr. med. Michael Kreißl wish you a successful and stimulating training period in our clinic!

Mandatory courses

3. Academic Year

Winter semester: Lectures (radiology, nuclear medicine, radiotherapy and neuroradiology).

Summer semester: 12 seminar topics from the fields of radiology, nuclear medicine, radiotherapy, and neuroradiology.

5. Academic Year

Winter semester: POL (Problem-Oriented Learning) together with Neuroradiology

Bildergalerie (5 Bilder)
  1 (Bild 1 von 5) Vorwärts »
« Zurück 5 (Bild 5 von 5)  

 

Elective events

3-5. Academic Year

  • Elective in winter semester (Radiology and Nuclear Medicine and Neuroradiology)

6. Academic Year

  • PJ (Radiology and nuclear medicine)

KRN1.png

Liebe Studierende,

Teilnemerzahl: 2-5

Angeboten ab 4.SJ (nur WiSe)

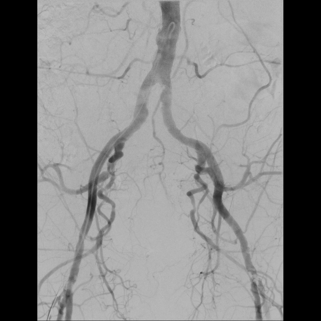
Inteventionelle Radiologie-Teil der Diagnostischen Radiologie oder ein eigenständiges Fachgebiet?

Die Entwicklung und Integration der interventionellen Radiologie im klinischen Alltag wird weltweit unterschiedlich gehandhabt. Während sie in den USA bereits als eigenständiges Fachgebiet anerkannt ist, gilt sie in Deutschland nach wie vor als fakultatives Teilgebiet innerhalb der Radiologie.

In der interventionellen Radiologie beschränkt sich die Tätigkeit des Radiologen nicht allein auf die bildgebende Diagnostik. Vielmehr übernimmt er eigenständig minimalinvasive Eingriffe und trägt dabei die Verantwortung für die prä-, peri- und postoperative Versorgung der Patient: innen.

Mit diesem Wahlfach möchten wir Ihnen praxisnahe Einblicke in das vielseitige und verantwortungsvolle ärztliche Arbeiten in der interventionellen Radiologie ermöglichen.

 

 

 

Famulatures and internships

Clinical trainees and internships can be completed at any time in the areas of radiology and nuclear medicine.

If you are interested, please send us your resume and the desired time period to: radiologie@ovgu.de 

PhD project

The Department of Radiology and Nuclear Medicine offers diverse and exciting opportunities to conduct a doctoral thesis.

The offers range from basic scientific investigations, physical aspects of nuclear medicine, and radiological diagnostic as well as therapeutic diagnostic and therapeutic procedures to the supervision of interdisciplinary clinical studies.

Due to the broad spectrum of our research projects, there is something for every interest, from the computer expert to the "full-blooded clinician".

Last Modification: 18.03.2025 - Contact Person:

Sie können eine Nachricht versenden an: Webmaster
Sicherheitsabfrage:
Captcha
 
Lösung: